Polaroid Sensor – Top Quality & Design
Available in sizes 1.0, 1.5 and 2.0
Download PDF Find DealerThe Polaroid Sensor is built to perform. Featuring our unique 1.5 size that can comfortably fit both children and adult patients.
- Intraoral Sensor
- Digital X-Ray
Lightweight yet extremely durable – high quality HD Dental Sensor available in sizes 1, 1.5 and 2.
Works with most imaging softwares Click Here
1.5 Unique Size
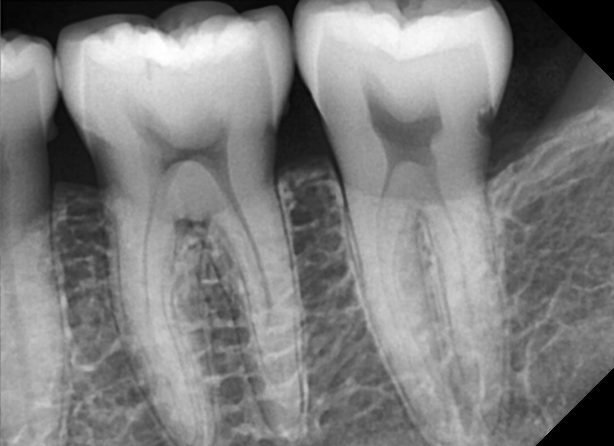
Polaroid P31’s advanced proprietary technology contributes to developing the sharpest and highest-quality images.
This unrivaled technology allows clinicians to maximize their diagnostic capability. Doctor is able to-take a single image or multiple images at once depending upon the mode they choose.
Quality and Design
With our high sensitivity sensor, you can capture diagnosable images under any condition, even when using an old X-ray source.
Fast and Secure
Quick plug and play sensor, for a clean image capture.
True Comfort
Only 4.8 mm thick with beveled corners for easy placement and rounded edges for an improved patient experience.
Three Sensor Sizes
Current sizes available are 1.0, 1.5 and 2.0. The Polaroid sensor’s also provide the correct sizing options for optimal patient comfort and positioning.
Excellent Performance
Superior image on advanced CMOS technology with a fiber optic scintillator, and shock absorption area that all together enable efficient, effective and long lasting solutions for your diagnostic needs.
Water Resistant
Our fully waterproof sensor has been hermetically sealed to be protected against fluids and contaminants. Can be cold soaked for sterilization. (IP68 rated)
Lasting Durability
Built to last with Internal & External impact cushions CsI (Caesium Iodide) scintillator for the best images Reinforced Strain relief to prevent cable damage Reinforced Kevlar cable and USB connector CMOS sensor for extended durability.
Experience High Resolution
With a theoretical resolution of 25 lp/mm, the HD Sensor provides the necessary high-resolution images for accurate diagnosis.
Low Exposure
The highly sensitive sensors usually require very little exposure times making the patients radiation exposure levels the lowest possible, ahearing to the A.L.A.R.A. principle.
Free In Office 14 Day Trial
Contact us, or your local full service dealer for a free 14 day in-office trial, or select the green “Request Demo” button in the upper right corner to begin.
Polaroid Sensor Accessories
Custom molded Perfect Fit Bite Blocks, Perfect Fit Alignment Ring and Rod kits and Perfect Fit Disposable sleeves (500Pk)!
Polaroid DDS Imaging Software
If you are tired of paying high support fees, locked into only “Their brand” of limited hardware choices, then break free with Polaroid DDS Imaging software. A completely Open Architecture Imaging software that has no boundaries and no limits.
Polaroid DDS works directly, no Twains, with All Sensors, PSP systems, IOC’s, and 2D Pan/ Cephs. DDS bridges seamlessly with most PM softwares.
Click Here to learn more
Lowest 5-Yr Operational Cost
Minimal Purchase Investment, 5-Yr Manufacturers Warranty, Free Installation and training, Free Lifetime remote support-Low cost to own
Simple Integration
Ray is compatible with most modern Imaging programs, If needed, our Polaroid DDS Imaging bridges to all Practice Management programs.
True Comfort
Enjoy true comfort with our ultra slim rounded corners at a curvature of 6 mm, making it easy to position within the patient’s mouth.









